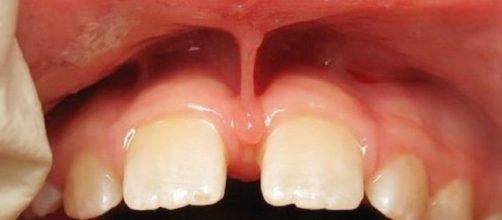
Freios labiais são pregas da mucosa inseridas de um lado na parte interna do lábio e do outro na gengiva. São também denominados frênulos e são três: superior, inferior e lingual. A inserção dos freios labiais seguem a seguinte classificação:

- inserção mucosa;

- inserção gengival;

- inserção papilar;

- inserção interdentária.

A depender do local de sua inserção ele pode causar limitações nos movimentos da língua e dos lábios, problemas estéticos, dificultar o fechamento de diastemas, dentre outros.

O que é a frenectomia?

frenectomia é um procedimento cirúrgico realizado pelo cirurgião-dentista (no caso de crianças, por odontopediatra) que visa diminuir o tamanho do frênulo (labial superior, labial inferior ou lingual) ou simplesmente eliminá-lo completamente.

Essa cirurgia é um procedimento simples, realizado no próprio consultório com anestesia infiltrativa local.

A técnica cirúrgica de frenectomia pode ser realizada através de bisturi manual, bisturi elétrico (eletrocautérico) e com o uso de laser. A técnica com bisturi elétrico é bem recomendada para pacientes que apresentam distúrbios hemorrágicos. Através de uma anamnese cuidadosamente realizada e exames clínicos, o profissional estabelecerá o melhor plano de tratamento.

Qual a indicação da frenectomia?

Como citado acima, as indicações mais comuns de frenectomia são a baixa inserção do freio impedindo uma adequada higienização, freio que traciona a gengiva marginal, aqueles que provocam uma desarmonia no sorriso do paciente e os associados a uma patologia periodontal.

A indicação mais frequente de frenectomia ocorre por indicação do ortodontista quando há dificuldade de fechamento de diastemas (espaço entre os dentes - neste caso os dois da frente) devido à posição do freio labial entre eles. Outra indicação neste mesmo tipo de caso é realizada pelo Odontopediatra quando ocorre dificuldade de higienização dos dentinhos pelos pais.

Este é mais um exemplo da necessidade de levar o bebê para uma consulta com o odontopediatra. Apenas ele será capaz de orientar os pais de maneira correta sobre a necessidade ou não de frenectomia e em que momento ela deverá ser realizada.