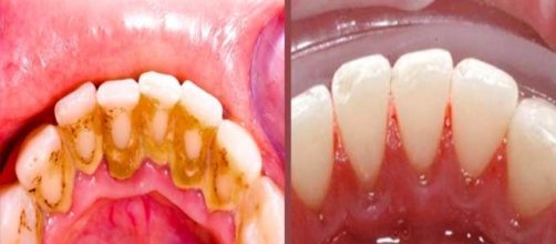
O acúmulo de bactérias, que com o tempo ficam grudadas nos dentes, é chamado de tártaro. As principais causas são a má escovação e também uma alimentação muito ácida no dia a dia. Uma pessoa com um nível muito elevado de tártaros nos dentes pode ter grandes problemas de saúde, não somente nos dentes, mas também para todo o corpo.

Sem contar que uma pessoa com tártaros nos dentes tem a sua aparência afetada, ficando com um sorriso todo amarelado e é bem provável que essa pessoa possua mau hálito, um cheiro muito desagradável na boca.

Técnicas que ajudam a deixar os dentes mais brancos e com brilho

Existem dois tipos de tártaros: o subgengival, que fica na parte debaixo das gengivas, tem uma consistência relativamente firme se comparado ao supragengival, e tem uma coloração mais esverdeada; o supragengival, que fica na parte de cima da borda das gengivas, tem coloração branca ou amarelada e esta pode ser removida com mais facilidade.

  • Alimentos que amenizam o problema

Frutas e verduras sem cozinhar: rúcula, espinafre, alface, maçã.

Argila: ajuda a alcalinizar o nosso organismo e o pH da boca.

Água salgada: fortalece e tira as impurezas dos dentes, ajudando a alcalinizar o pH da boca.

Adoçante natural: é ótimo para os dentes.

Algumas técnicas para ajudar a remover ou, pelo menos, diminuir os tártaros nos dentes

Carvão ativo: ajuda no clareamento dos dentes e é um dos tratamentos mais procurados na atualidade.

Assim como o bicarbonato de sódio, ele não pode ser usado em grande quantidade e por muito tempo, porque ele pode ser prejudicial ao esmalte dos dentes. Quando for adquirir o carvão, veja se o mesmo é de origem vegetal, ou seja, de madeira de coco, e não de petróleo. Esse produto pode ser encontrado com muita facilidade em lojas que vendem produtos naturais.

Como aplicar: ao escovar os dentes, molhe a escova com água e coloque um pouco de pó de carvão em cima. Em seguida, escove os dentes normalmente.

Óleo de girassol ou de gergelim: esses dois óleos vão ajudar a limpar toda a placa dentária e a remover as toxinas da boca. É totalmente recomendado em casos de infecções bucais, gengivites. As suas propriedades antifúngicas e antibacterianas fazem desse tratamento um excelente meio de tratamento com ótimos resultados.

Como usar: faça bochecho com óleo de gergelim ou de girassol.

Evite o consumo exagerado de alimentos ácidos e procure se alimentar com frutas e vegetais, pois eles são alimentos que evitam a formação de tártaros. E nunca se esqueça de manter a higiene bucal em dia.