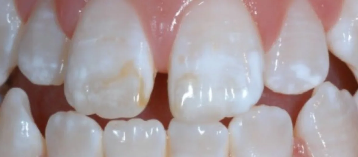
A fluorose é uma anomalia no processo de formação do dente. Caracteriza-se por manchas que podem ser desde linhas brancas e finas até manchas mais opacas e acastanhadas. Em casos mais graves pode ocorrer perda de estrutura do próprio esmalte resultando em depressões nos dentes. A intensidade da má formação vai depender de alguns fatores, tais como: idade da criança quando houve a exposição ao flúor, tempo de exposição, peso da criança e seu estado nutricional.

Costuma acometer crianças de 0 a 12 anos, ou seja, está também presente na dentição permanente. Outro sinal clínico dessa patologia é a ocorrência da mancha no mesmo grau em dentes homólogos. Por exemplo, se o último dente do lado esquerdo estiver afetado, o último dente do lado direito também estará na mesma intensidade.

Causas da fluorose

O maior vilão da fluorose é o mesmo responsável por diminuir drasticamente a prevalência de cárie da população: a fluoretação da água. A água que consumimos deve conter flúor em níveis ideais como medida de prevenção e controle de cárie.

Quando o nível de flúor ultrapassa o recomendado de até 4mg/L ele passa a ser prejudicial para a formação dos dentes. Portanto, existem regiões em que a incidência de de fluorose na população é maior que em outras. Mas essa não é a única causa. Quando houve a descoberta de que o flúor agiria como uma barreira de proteção para os dentes, ele passou a ser utilizado também de outras formas, por exemplo, nos dentifrícios (pastas de dente). A ingestão de dentifrícios fluoretados também causa fluorose. Os pais devem estar atentos à quantidade de pasta na escova da criança.

Tratamentos da fluorose

Existem duas formas mais comuns para o tratamento: a microabrasão com ácido fosfórico a 37% e o clareamento exógeno over nigth com peróxido de carbamida 10%.

Em ambos os casos os pacientes mostram-se satisfeitos com o resultado em função do restabelecimento da estética. O método utilizado clinicamente para as crianças é o primeiro. O protocolo é de no mínimo duas sessões de microabrasão, variando a quantidade de aplicações da pasta em cada sessão. Não é comum o relato de queixas de desconforto durante ou após o procedimento.

De acordo com o exposto, os pais precisam estar atentos ao nascimento tanto dos dentes decíduos quanto dos permanentes, já que a fluorose pode não ser apenas um problema estético. Nos casos mais graves são necessárias restaurações para restabelecer forma e função das unidades afetadas. O Odontopediatra é o profissional capacitado para diferenciar as manchas de fluorose de outras existentes e para realizar o tratamento apropriado.