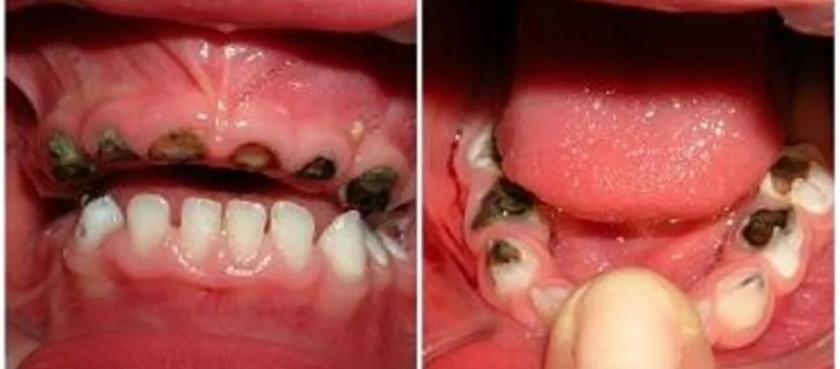
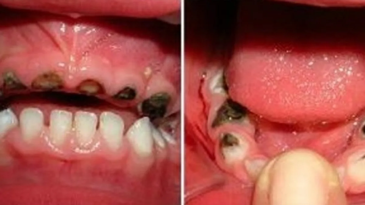
A cárie de mamadeira é também conhecida no meio científico como cárie rompante e cárie precoce. Sua manifestação é bastante alta na população, o que demonstra a falta de orientação dos pais e cuidadores sobre o assunto.

Ela acomete principalmente crianças de 0 a 3 anos e pode progredir até a destruição total da coroa dental caso não haja tratamento adequado. Acomete principalmente os dentes da arcada superior, podendo também estar presente nos inferiores em menor intensidade.

A maior característica dessa doença é a evolução rápida e agressiva.

Como evitar a cárie de mamadeira?

De maneira geral, a doença cárie pode ser evitada realizando a higienização dos dentes com escova de dente, creme dental com flúor e fio dental após cada alimentação. O mesmo protocolo serve para a cárie de mamadeira. A partir do nascimento do primeiro dente de leite, não importa se com 4 ou 12 meses, os pais devem introduzir a higienização oral na rotina do bebê.

Após cada mamadeira ou mamada os dentinhos devem ser escovados com creme dental com flúor.

A Associação Americana de Pediatria aprovou a utilização de flúor no creme dental infantil. A quantidade de creme é de um grão de arroz cru até os 3 anos, aumentado progressivamente até atingir o tamanho de um grão de ervilha.

É extremamente importante fazer a escovação dos dentinhos do bebê principalmente à noite. Nesse momento os dentes ficam mais suscetíveis a ação de bactérias pois a salivação diminui durante o sono e o leite fica ainda mais estagnado sobre os dentes.

Medidas preventivas e educativas

Devido à alta incidência de cárie na população infantil, medidas de orientação devem ser tomadas desde a gravidez. As mães, principais responsáveis pelo bebê nos primeiros meses, são o público-alvo para ações educativas de saúde bucal.

O quanto antes elas tiverem acesso a essas informações, menos chances tem seus bebês de adquirir a doença cárie.

Infelizmente, ainda hoje muitos pais desconhecem a necessidade de escovação dos dentes do bebê e, mesmo os que conhecem, muitas vezes não utilizam creme dental fluoretado. Essa realidade precisa ser alterada.